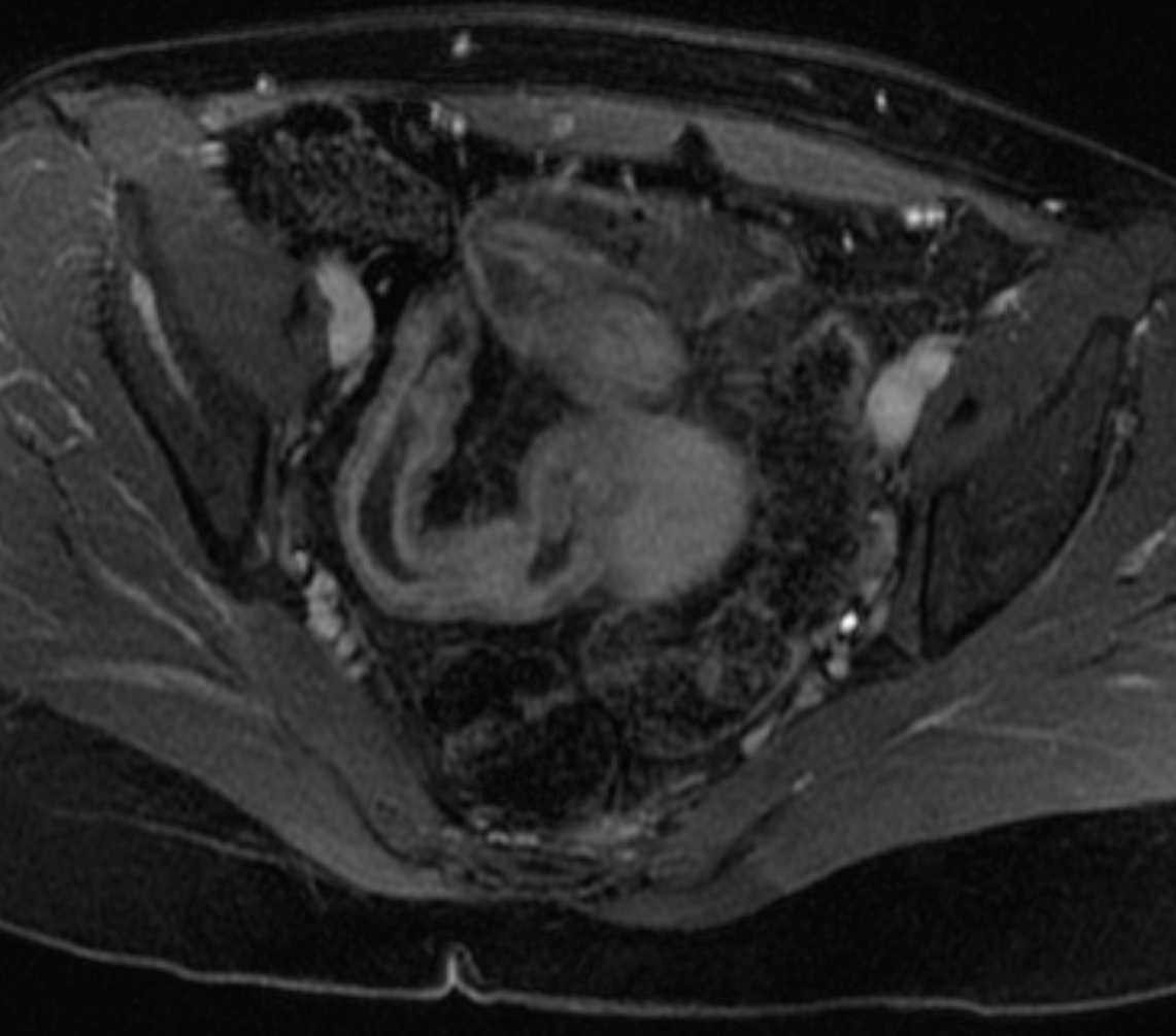
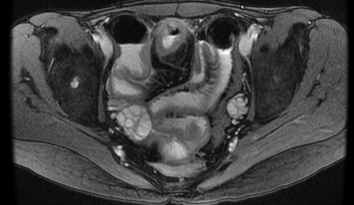
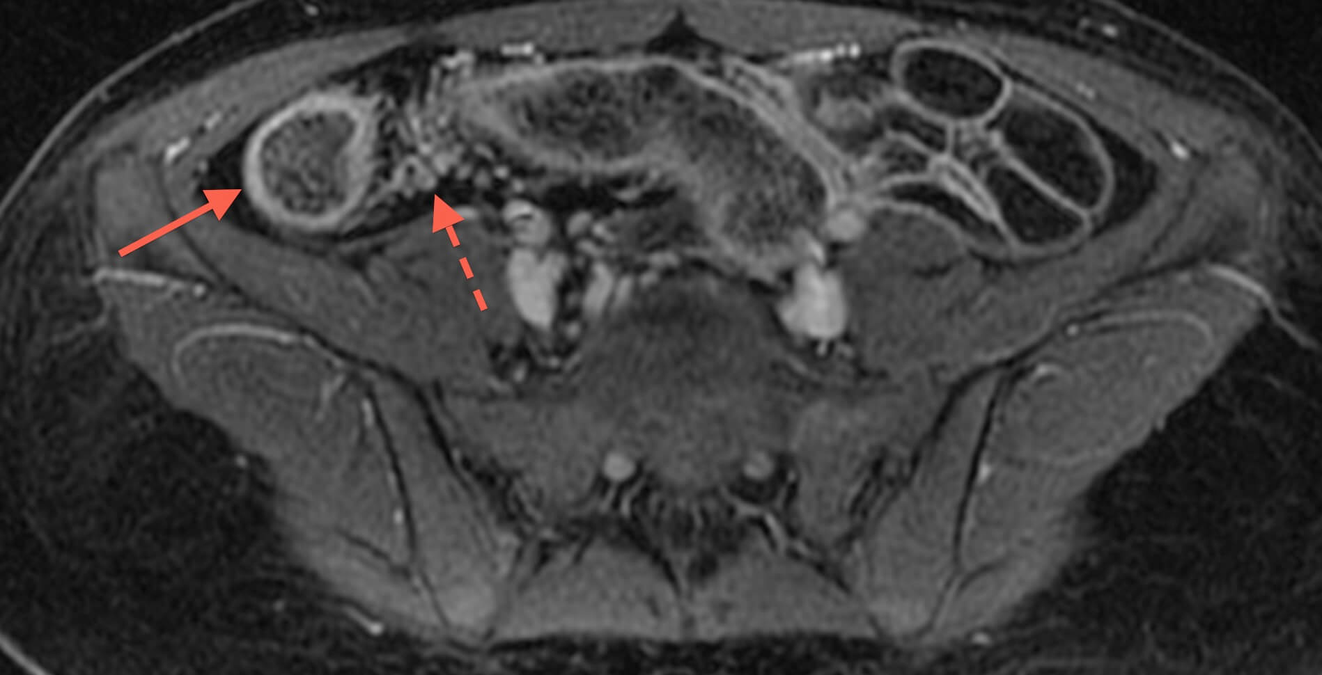
Inflammatory Bowel Disease
MR enterography is valuable for determining extent of inflamed bowel, discriminating between active inflammation and chronic fibrosing disease, detecting fistulae, and detecting strictures. Additionally, MRI can provide excellent delineation of the course of perianal fistulas, including relationships to sphincters and levators.
Before undergoing MRI to evaluate the bowel, one drinks a little over one quart of a fluid that helps to distend the bowel, and an intravenous catheter is placed so that intravenous contrast can be administered.
References
- Tonolini M, Campari A, Bianco R. Ileal pouch and related complications: spectrum of imaging findings with emphasis on MRI. Abdom Imaging 2011; 36:698-706. PubMed link
- Sinha R, Verma R, Verma S, Rajesh A. MR enterography of Crohn disease: part 2, imaging and pathologic findings. AJR Am J Roentgenol 2011; 197:80-85. PubMed link
- Sinha R, Verma R, Verma S, Rajesh A. MR enterography of Crohn disease: part 1, rationale, technique, and pitfalls. AJR Am J Roentgenol 2011; 197:76-79. PubMed link
- Oto A, Kayhan A, Williams JT, et al. Active Crohn’s disease in the small bowel: evaluation by diffusion weighted imaging and quantitative dynamic contrast enhanced MR imaging. J Magn Reson Imaging 2011; 33:615-624. PubMed link
- Gee MS, Harisinghani MG. MRI in patients with inflammatory bowel disease. J Magn Reson Imaging 2011; 33:527-534. PubMed link
- Giusti S, Faggioni L, Neri E, et al. Dynamic MRI of the small bowel: usefulness of quantitative contrast-enhancement parameters and time-signal intensity curves for differentiating between active and inactive Crohn’s disease. Abdom Imaging 2010; 35:646-653. PubMed link
- Lin MF, Narra V. Developing role of magnetic resonance imaging in Crohn’s disease. Curr Opin Gastroenterol 2008; 24:135-140. PubMed link
- Patak MA, von Weymarn C, Froehlich JM. Small bowel MR imaging: 1.5T versus 3T. Magn Reson Imaging Clin N Am 2007; 15:383-393, vii. PubMed link
- Horsthuis K, Lavini Mphil C, Stoker J. MRI in Crohn’s disease. J Magn Reson Imaging 2005; 22:1-12. PubMed link






